Address: 4th Floor,Aishwaryam Deer stone Building, Sector No.27, Pradhikaran, Akurdi, PCMC. Emergency Care 24/7
Rigid Bronchoscopy Pediatric & Adult
Rigid bronchoscopy is used to view the larger airways and can be employed in both pediatric and adult patients, though the specific size and type of scope used will vary. In pediatric cases, smaller rigid bronchoscopes are needed due to anatomical differences in the larynx and airway, according to the National Institutes of Health (NIH) (.gov). Rigid bronchoscopy is a valuable tool for diagnosing and treating various conditions, including foreign body aspiration, airway stenosis, and hemoptysis.
Peakflometry
Peakflometer is a simple device to monitor the progress of airway diseases like asthma & COPD. It is an important tool to upscale or downscale the ongoing medication and patients are encouraged to use it regularly on their own.




Pulse Oximetry
Pulse oximetry is a simple non-invasive method of monitoring the oxygen saturation of haemoglobin in blood, which in most cases reflects the gas exchanging capabilities of the respiratory system. Testing is provided complementary to every patient at every visit.
Pulmonary Rehabilitation
Pulmonary rehabilitation programme aims at improving the quality of life of a chronically ill patient who often finds it difficult to carry out even the daily life activities. The Programme includes exercise training, , nutritional counselling, meditation, yogasanas and other capacity improving & energy conserving techniques.




BiPAP/CPAP/O2 Therapy Rental
Noninvasive ventilation, such as CPAP or BiPAP is used in patients with sleep disorders like sleep apnea, severe stable COPD and the obesity-hypoventilation syndrome. BiPAP is also indicated for patients who have chronic respiratory insufficiency or respiratory failure and can no longer breathe adequately on their own.
Polysomnography (Sleep Study)
There is a lot of attention being given to sleep medicine nowadays. With the sedentary lifestyle and growing problem of obesity, sleep disorders have been on a rise. Untreated sleep disorders have been linked to hypertension, heart disease, stroke, depression, diabetes and other chronic diseases. Sleep study helps in diagnosing various types of sleep disorders including sleep apnea. It is indicated in patients who complain of snoring, daytime sleepiness, excessive fatigue as a result of fragmented sleep.




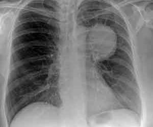
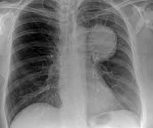
Chest X-ray
Chest radiographs are used to diagnose many conditions involving the chest wall, including its bones, and also structures contained within the thoracic cavity including the lungs, heart, and great vessels. Pneumonia and congestive heart failure are very commonly diagnosed by chest radiograph. Chest radiographs are also used to screen for job-related lung disease in industries such as mining where workers are exposed to dust.


SPUTUM TEST
A sputum culture is a test to detect and identify bacteria or fungi that infect the lungs or breathing passages. Sputum is a thick fluid produced in the lungs and in the adjacent airways. Normally, fresh morning sample is preferred for the bacteriological examination of sputum. A sample of sputum is collected in a sterile, wide-mouthed, dry, leak-proof and break-resistant plastic-container and sent to the laboratory for testing.


6MWT
The Six-Minute Walk Test (6MWT) is a standardized exercise test used to measure a person's functional exercise capacity and assess their ability to walk a set distance. It's a simple, non-specific tool that can provide valuable information about overall cardiopulmonary function and can be used to assess the effectiveness of medical interventions for conditions like heart and lung disease.


Vaccination
People with asthma or COPD are at higher risk for serious problems from certain vaccine-preventable diseases. Getting vaccinated is an important step in staying healthy. If you have lung disease, talk with your doctor about getting your vaccinations up-to-date.COPD and asthma cause your airways to swell and become blocked with mucus, which can make it hard to breathe. Certain vaccinepreventable diseases can also increase swelling of your airways and lungs. The combination of the two can lead to pneumonia and other serious respiratory illnesses.


PFT (Spirometry / Pulmonary Function Testing)
PFT or Lungs Function Test is a very crucial diagnostic tool useful for diagnosing majority of the chest disorders like asthma, COPD, IPF, chronic cough, etc. It is also used in pre-employment fitness evaluation, occupation related and smoking related lung diseases. PFT done periodically can tell you about the progress of the disease process or the quantum of improvement. At ‘Chest Clinic, Sion’ to minimise the chances of testing errors, PFT (spirometry) is done by well trained technicians under the direct supervision of chest specialist doctor.


Dietician Change Your Life With Us!
Eat healthy, be active
Our mission is to provide top quality service to people of all age groups by purely focusing on the importance of well balanced diets and regular physical activity. We strongly believe that fad diets do no good to the body and can prove to be extremely dangerous in the long run. We intend to enhance the general wellbeing of all our members through nutritionally sound custom-made diet which has its roots firmly based on realistic and scientific principles thereby delivering lifelong results.
Our Professional Services
Our team of dedicated M. D. doctors, nutritionists, other professionals and technical experts meet regularly to discuss our patients’ healthcare and means to accelerate each individual’s healing process towards optimal “Wellness”.
Computerized Pathology Laboratory
Health Check-up Schemes
Childhood Obesity
Weight Management (Weight loss/gain)
Stress Management
Nutrition Guidence in Lifestyle Disease
PHYSIOTHERAPY
Physical therapy is a combination of hands-on techniques (a therapist moving part of your body) and exercises or movements you perform with a physical therapist's supervision. Physical therapy can include: Stretching. Strength training (with or without weights or exercise equipment). Massage.


Phone: 077190 09767 , 095035 53685.
Address:4th Floor, Aishwaryam Deer stone Building, Plot no B 502, Mhalsakant Chowk, Sector No. 27, Pradhikaran, Akurdi, Pimpri-Chinchwad, Maharashtra 411035
© 2025. All rights reserved. Muktai Specialty Hospital & ICU. Power & Designed By Discovery Media


